Avascular Necrosis or Osteonecrosis of the jaw occurs when an area of the jaw bone is exposed, and the blood supply to the bone is interrupted. Avascular refers to lack of blood supply, and necrosis means death. Thus, avascular necrosis is the death of jaw bone. The loss of blood supply causes the bone to weaken and gradually die, resulting in pain.
(Image adapted from https://www.rheumatologyadvisor.com/home/topics/osteoporosis/oral-bisphosphonates-linked-to-6-fold-increase-in-risk-for-osteonecrosis-of-the-jaw/)Fig.1. Osteonecrosis or Avascular Necrosis of the Jaw
Causes of Avascular Necrosis (AVN) of the Jaw:
AVN of the jaw is a rare but serious condition caused due to following reasons:
Dental extraction
Jaw injury
High dose of intravenous bisphosphonates*
Radiation therapy
Osteomyelitis (bone infection)
Long-term use of corticosteroids
Use of antiresorptive medications
* There is no clinical evidence to prove that routine use of oral bisphosphonates can increase the risk of AVN of the jaw.
Old age, diabetes, smoking, and gum diseases can increase the risk of developing AVN of the jaw.
Symptoms of Avascular Necrosis (AVN) of the Jaw:
Avascular necrosis of the jaw may remain asymptomatic for a long time. The symptoms include:
Pain
Swelling and redness of the gums
Loosening of teeth
The inability of the tooth socket to heal
Exposed bone in the mouth
Numbness or heaviness in the jaw
Discharge of pus
Diagnosis of Avascular Necrosis (AVN) of the Jaw:
Osteonecrosis or Avascular Necrosis (AVN) of the jaw is diagnosed by clinical evaluation. The condition is confirmed when the exposed necrotic bone is present in the maxilla or mandible for at least 8-weeks.
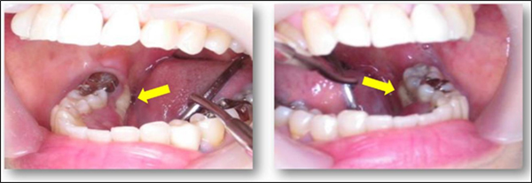
(Image adapted from https://www.sciencedirect.com/science/article/pii/S1882761618300127))Fig.2. Clinical Photos of Osteonecrosis or Avascular Necrosis of the Jaw
Treatment of Avascular Necrosis (AVN) of the jaw:
Avascular necrosis of the jaw treatment involves antibiotics, pain relief medications, and oral rinses.
Surgery may worsen the condition and is not recommended for the initial treatment.
Prevention:
Here are a few ways to prevent or reduce the risk of Avascular Necrosis of the jaw:
Check for any symptoms in your mouth, such as pain, numbness, or sore areas.
If possible, have a routine dental examination and any necessary invasive dental treatment, before starting bisphosphonates treatment.
While undergoing bisphosphonates treatment, maintain good mouth hygiene and have regular dental check-ups.
If possible, invasive dental procedures should be avoided when undergoing bisphosphonates treatment. If invasive treatment is necessary, one must consult an experienced oral and maxillofacial surgeon.
References:
Wan, J.T., Sheeley, D.M., Somerman, M.J. et al. Mitigating osteonecrosis of the jaw (ONJ) through preventive dental care and understanding of risk factors. Bone Res 8, 14 (2020). https://doi.org/10.1038/s41413-020-0088-1